免疫组织化学(Immunohistochemistry, IHC),或称免疫细胞化学(Immunocytochemistry, ICC)技术,是一项利用免疫学中抗原-抗体特异性反应的原理,通过化学反应使标记抗体的显色剂(荧光素、酶、金属离子、同位素)显色来确定组织细胞内抗原(如多肽和蛋白质),研究抗原定位、定性及定量的实验技术。免疫组化具有高特异性、高灵敏度、定位准确、多层面多角度检测和观察组织细胞结构等特点,目前广泛应用于基础科学研究和临床疾病诊断领域。

免疫组化主要用的是组织标本和细胞标本两大类,组织标本包括石蜡切片(病理切片和组织芯片)和冰冻切片。石蜡切片,对组织形态保存好,保存时间也长,虽然对组织抗原暴露有影响,但可以抗原修复,所以石蜡切片仍然是首选的标本制作方法。
实验流程

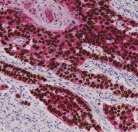
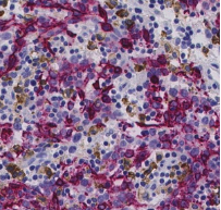
案例展示



