RIP测序
RIP-seq(RNA immunoprecipitation and high-throughput sequencing)是RNA免疫沉淀与高通量测序结合的技术,它通过免疫沉淀目标蛋白来捕获蛋白体内结合的RNA。将捕获的RNA进行高通量测序,可获得RNA结合蛋白(RBP)在体内与众多RNA靶标的结合模式,并对其结合强度进行精确定量,最终通过分析目的蛋白在体内结合RNA的动态变化,阐述出目的蛋白对基因表达调控的分子机制。RIP-seq技术可绘制全转录组范围的RNA和RBP(RNA结合蛋白)相互作用图谱,解析“Argonaute(Ago)-miRNA-mRNA”三者的互作。但是RIP-seq并不局限于miRNA与RBP的传统研究,lncRNA和多种蛋白互作、广泛的参与生物学过程,RIP-seq用于发现RBP与lncRNA的互作网络也为lncRNA的细胞机制和疾病的发生、发展研究提供了新的线索和方向。
建库方法及技术流程

结果展示

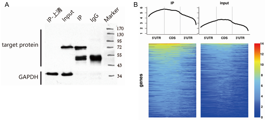
A)IP质检结果(IP-上清:抗体免疫沉淀上清中目的蛋白检测,Input:样品裂解液中目的蛋白检测,IP:抗体富集目的蛋白检测,IgG:IgG富集目的蛋白检测);
B)reads在所有基因功能区域的累积分布(上)和每个基因上reads的分布情况(下),红色代表覆盖度深;

C)Peak在基因各功能区的分布统计;
D)reads在基因上的覆盖情况:在peak区域,IP的reads覆盖度高于input, (横轴为基因位置,左边纵轴为覆盖度)。